28.05.2025

Skąd biorą się afty i jak sobie z nimi radzić?

Afty, zwane również nadżerkami błony śluzowej jamy ustnej, to niewielkie, ale niezwykle uciążliwe owrzodzenia, które mogą pojawić się na języku, wewnętrznej stronie policzków, wargach, a czasem także na podniebieniu lub dziąsłach. Ich obecność często wywołuje ból i dyskomfort, znacząco utrudniając codzienne czynności, takie jak jedzenie, mówienie czy picie. Przyczyny ich powstawania są różnorodne i mogą obejmować zarówno czynniki zewnętrzne, jak i wewnętrzne. Wśród najczęstszych wymienia się stres, zmiany hormonalne (szczególnie u kobiet), niedobory składników odżywczych, takich jak witamina B12, żelazo i kwas foliowy, a także choroby autoimmunologiczne. Osłabiony układ odpornościowy, np. w wyniku przeziębienia, przepracowania lub infekcji wirusowych, również sprzyja ich rozwojowi. Nie bez znaczenia są predyspozycje genetyczne – niektóre osoby mają naturalnie większą skłonność do nawracających aft.


Jak objawiają się afty i co je wyróżnia?

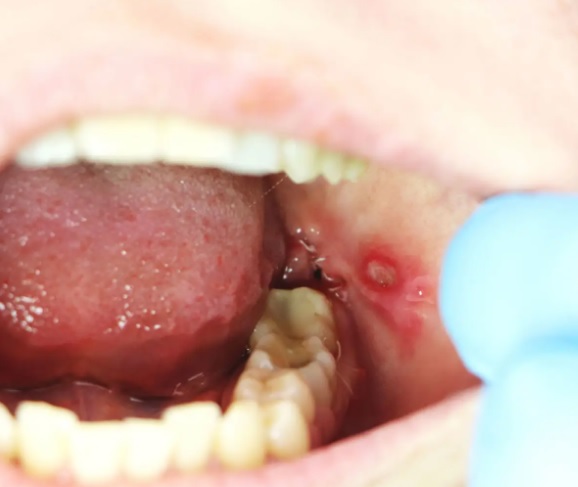
Objawy afty są dość charakterystyczne i rzadko mylone z innymi zmianami w obrębie jamy ustnej. Typowa afta ma postać małego owrzodzenia o białawym lub żółtawym środku, otoczonego wyraźnie zaczerwienioną, zapalną obwódką. Pojawieniu się zmiany zwykle towarzyszy uczucie mrowienia, pieczenia lub swędzenia, które z czasem przeradza się w ból. Bolesność może być nasilona zwłaszcza przy spożywaniu kwaśnych, pikantnych lub gorących pokarmów, a także podczas szczotkowania zębów czy rozmowy. W przypadku aft o większym rozmiarze lub licznych zmian, może dojść do powiększenia węzłów chłonnych oraz stanu podgorączkowego. Utrzymują się zazwyczaj od 7 do 14 dni, jednak nieleczone lub często nawracające mogą świadczyć o innych schorzeniach wymagających diagnostyki.


Jakie metody leczenia przynoszą najlepsze efekty?

Skuteczne leczenie aft polega przede wszystkim na łagodzeniu bólu i skracaniu czasu gojenia. W pierwszej kolejności warto sięgnąć po preparaty dostępne bez recepty, a w szczególności po sprawdzoną maść na afty, która tworzy ochronną warstwę na ranie i zapobiega dalszemu podrażnieniu. Tego rodzaju preparaty często zawierają środki przeciwzapalne, przeciwbakteryjne oraz substancje znieczulające, które zapewniają szybkie złagodzenie dolegliwości. Alternatywnie, pomocne bywają płukanki z soli fizjologicznej, rumianku lub szałwii, działające antyseptycznie i wspomagające gojenie. W cięższych przypadkach, np. przy silnym bólu lub nawracających zmianach, lekarz może zalecić stosowanie kortykosteroidów w postaci żeli lub płynów. Dobór odpowiedniego leczenia powinien zawsze uwzględniać indywidualne potrzeby pacjenta oraz ewentualne przeciwwskazania.

 


Czy sposób odżywiania wpływa na częstotliwość aft?

Dieta ma ogromne znaczenie w zapobieganiu nawrotom aft i wspomaganiu leczenia. Zbyt ostre, kwaśne lub gorące potrawy mogą uszkadzać delikatną błonę śluzową jamy ustnej, sprzyjając pojawianiu się nadżerek. Warto unikać produktów wysoko przetworzonych, zawierających sztuczne barwniki i konserwanty, które mogą działać drażniąco lub alergizująco. Istotną rolę odgrywa także dostarczanie odpowiednich ilości witamin – szczególnie z grupy B, witaminy C, żelaza i kwasu foliowego – których niedobory są często obserwowane u osób z aftami. Regularne spożywanie warzyw liściastych, pełnoziarnistych zbóż oraz białka pochodzenia roślinnego i zwierzęcego może znacznie poprawić stan błony śluzowej. U osób z nietolerancjami pokarmowymi, np. na gluten lub laktozę, kontakt z alergenem może wywołać zmiany aftowe – dlatego dieta powinna być dostosowana do potrzeb organizmu i dobrze zbilansowana.


Czy domowe sposoby rzeczywiście działają?

W przypadku łagodnych zmian aftowych domowe sposoby mogą być nie tylko pomocne, ale też wystarczające. Płukanie jamy ustnej ciepłą wodą z solą działa antyseptycznie, zmniejszając stan zapalny i wspomagając regenerację. Inną popularną metodą jest stosowanie pasty z sody oczyszczonej, która może zmniejszyć kwaśne środowisko w jamie ustnej. Miód, dzięki swoim właściwościom antybakteryjnym i przeciwzapalnym, również przyspiesza gojenie. Przykładanie kostek lodu zmniejsza obrzęk i łagodzi ból, podobnie jak ssanie kostek lodu lub zimna woda. Warto jednak pamiętać, że domowe metody nie zastąpią specjalistycznego leczenia w przypadku nawrotów lub rozległych zmian. W takich sytuacjach maść na afty o potwierdzonym działaniu terapeutycznym będzie znacznie skuteczniejsza.


Czy afty mogą zwiastować poważniejsze choroby?

Choć w większości przypadków afty mają charakter łagodny i samoograniczający, czasem mogą być objawem chorób ogólnoustrojowych. Na przykład, choroba Behçeta – przewlekła choroba zapalna – objawia się m.in. nawracającymi owrzodzeniami jamy ustnej, narządów płciowych oraz problemami ze wzrokiem. Inne poważne schorzenia, takie jak celiakia czy choroba Crohna, również mogą manifestować się poprzez zmiany w obrębie jamy ustnej. Afty mogą być także związane z niedoborem odporności, np. w przebiegu HIV. Dlatego jeśli afty pojawiają się często, goją się wyjątkowo długo lub towarzyszą im inne niepokojące objawy, takie jak biegunki, gorączka czy utrata masy ciała, konieczna jest konsultacja lekarska oraz pogłębiona diagnostyka. W takich przypadkach miejscowa maść na afty może nie być wystarczająca i konieczne może być leczenie ogólnoustrojowe.


Które preparaty są najbardziej skuteczne?

Na rynku farmaceutycznym dostępna jest szeroka gama środków przeznaczonych do leczenia aft, zarówno dostępnych bez recepty, jak i na receptę. Najczęściej wybierana jest maść na afty, która pozwala skutecznie złagodzić objawy i skrócić czas gojenia. Warto zwracać uwagę na skład – najlepsze preparaty zawierają środki antyseptyczne, przeciwbólowe oraz regenerujące błonę śluzową. Niektóre zawierają także wyciągi roślinne, takie jak aloes, propolis czy nagietek. Alternatywą dla maści są żele i płyny do płukania ust, które łatwiej docierają do trudno dostępnych miejsc, zwłaszcza w przypadku mnogich zmian. Osoby cierpiące na częste nawroty mogą skorzystać również z suplementacji witaminowej i stosowania specjalnych past do zębów bez SLS (laurylosiarczanu sodu), który może drażnić błony śluzowe. Warto zawsze skonsultować wybór preparatu z farmaceutą lub lekarzem.

 


Jakie środki ostrożności pomagają zapobiegać nawrotom?

Aby zmniejszyć ryzyko pojawiania się aft, konieczne jest zachowanie właściwej higieny jamy ustnej i zdrowego stylu życia. Należy regularnie szczotkować zęby, stosować nici dentystyczne oraz unikać produktów drażniących – nie tylko ostrych potraw, ale również past z silnymi detergentami. Istotne jest również unikanie urazów mechanicznych, np. poprzez ostrożność podczas jedzenia czy wymianę szczoteczki na taką z miękkim włosiem. Stres i zmęczenie, jako jedne z głównych czynników prowokujących, powinny być redukowane za pomocą technik relaksacyjnych i zdrowego snu. Rezygnacja z używek, takich jak alkohol i papierosy, także wpływa korzystnie na kondycję śluzówki. Osoby z tendencją do nawrotów powinny mieć zawsze pod ręką sprawdzoną maść na afty, aby szybko zareagować na pierwsze objawy.


Jakich błędów należy unikać podczas leczenia aft?

Jednym z najczęstszych błędów jest bagatelizowanie objawów i próby leczenia aft środkami nieprzeznaczonymi do tego celu, np. kosmetykami lub ostrymi płynami. Takie działania często prowadzą do pogorszenia stanu zapalnego. Innym problemem jest zbyt późne rozpoczęcie leczenia – najlepiej działać od razu po pojawieniu się pierwszych objawów. Niewłaściwe stosowanie leków, np. zbyt rzadkie nakładanie maści lub przerywanie kuracji po ustąpieniu bólu, także obniża skuteczność terapii. Warto pamiętać, że maść na afty powinna być aplikowana zgodnie z zaleceniami producenta, a wszelkie reakcje niepożądane należy skonsultować z lekarzem. Utrzymanie zdrowej diety, nawodnienie i higiena jamy ustnej to podstawa skutecznej profilaktyki i leczenia.

Zobacz również: https://www.chema.rzeszow.pl/strefa-wiedzy/zel-aftident-sposob-na-afty-plesniawki-i-urazy-w-jamie-ustnej 

autor
Autor artykułu
Filip Głowacki

Autor tekstów – ekspert ds. ekonomii, analiz rynkowych i finansów.

Udostępnij
Opinie
pełna gwiazdka pełna gwiazdka pełna gwiazdka pełna gwiazdka pełna gwiazdka
Dodaj swoją opinię:

Opinie na temat artykułu

Średnia ocena
pusta gwiazdka pusta gwiazdka pusta gwiazdka pusta gwiazdka pusta gwiazdka
(0)

Strony w katalogu

Strona www StalProdukt stoły warsztatowe

StalProdukt stoły warsztatowe

lokalizacja Kazimierza Mireckiego 21, 37-450 Stalowa Wola, lokalizacja +48 606 118 190
Na stronie internetowej StalProdukt.pl znajdziesz szeroki wybór produktów, które są niezbędne do stworzenia funkcjonalnego i ergonomicznego miejsca pracy. Nasza firma koncentruje się na produkcji stołów warsztatowych, zarówno standardowych, jak i regulowanych, oraz praktycznych szafek warsztatowych. Te elementy wyposażenia są niezwykle istotne dla zapewnienia efektywności i porządku w każdym warsztacie. StalProdukt.pl stawia na jakość i trwałość swoich wyrobów, co sprawia, że nasze stoły i szafki są idealnym rozwiązaniem dla profesjonalistów oraz amatorów, którzy cenią sobie solidność i praktyczność. Chcemy, aby każdy element wystroju Twojego warsztatu był starannie zaprojektowany i wykonany z dbałością o detale, co pozwoli Ci skoncentrować się na tym, co robisz najlepiej. Zachęcamy do odwiedzenia naszej strony www, gdzie znajdziesz pełną ofertę naszych produktów. Przekonaj się, jak nasze innowacyjne rozwiązania mogą uczynić Twoje miejsce pracy bardziej komfortowym i efektywnym. To prosty krok w kierunku doskonałości w organizacji przestrzeni roboczej!
Ilość odwiedzin: 1211
Ilość kliknięć: 0
Ocena: 5
Komentarzy: 1
Data dodania: 30.05.2025
Ostatnia wizyta: 22.02.2026
Strona www Nobo Restauracja

Nobo Restauracja

lokalizacja Hetmańska 73, 35-078 Rzeszów, lokalizacja +48 787 733 077
Restauracja NOBO to jeden z najciekawszych lokali na kulinarnej mapie Rzeszowa, oferujący niezapomniane doznania dla prawdziwych smakoszy. To miejsce, gdzie pasja do gotowania łączy się z perfekcjonizmem, co sprawia, że każdy szczegół ma znaczenie. Atmosfera w NOBO jest wyjątkowa – nowoczesne podejście do sztuki kulinarnej splata się tutaj z szacunkiem dla tradycji, tworząc przestrzeń, która zachwyca i intryguje. W NOBO możesz delektować się wykwintnymi daniami, które urzekają nie tylko smakiem, ale i estetyką podania. To idealne miejsce, w którym możesz spędzić czas z najbliższymi, ciesząc się miłym towarzystwem i serdeczną atmosferą. Restauracja NOBO stawia na harmonię między smakiem a stylem, co owocuje wyjątkowymi wspomnieniami, które zostaną z Tobą na długo. Zachęcamy do odwiedzenia naszej strony internetowej, gdzie znajdziesz szczegóły dotyczące naszej oferty, nadchodzących wydarzeń i możliwości rezerwacji. Odkryj, jak wyjątkowe mogą być kulinarne doświadczenia i pozwól się zaskoczyć magii smaków, które przygotowaliśmy dla Ciebie w NOBO!
Ilość odwiedzin: 486
Ilość kliknięć: 2
Ocena: 0
Komentarzy: 0
Data dodania: 13.02.2025
Ostatnia wizyta: 22.02.2026

Portal Pomoc Drogowa Rzeszów

Portal pomoc-drogowa-rzeszow.pl to miejsce, które stanie się Twoim niezawodnym wsparciem w trudnych chwilach na drodze! Od momentu powstania w 1995 roku, firma Autostar Pomoc Drogowa Rzeszów nieprzerwanie stara się zapewniać bezpieczeństwo kierowcom, oferując szeroki wachlarz usług pomocowych, które są zarówno fachowe, jak i kompleksowe. Nasza ekipa działa błyskawicznie i skutecznie, aby w kryzysowych momentach dostarczyć Ci wsparcia, którego potrzebujesz i zasługujesz. Dzięki naszemu wieloletniemu doświadczeniu, jesteśmy w stanie dostosować naszą ofertę do indywidualnych potrzeb każdego z naszych klientów, co sprawia, że zajmujemy czołową pozycję w branży pomoc drogowych. Niezależnie od tego, czy Twoje auto ma kłopoty techniczne, potrzebujesz holowania, czy utknąłeś na poboczu z powodu awarii – jesteśmy tu, aby Ci pomóc. Zachęcamy do odwiedzenia naszej witryny internetowej, na której znajdziesz pełne informacje na temat naszych usług oraz łatwy sposób na kontakt z naszą ekipą. Działamy 24 godziny na dobę, 7 dni w tygodniu, co daje Ci pewność, że zawsze możemy Ciągnąć pomoc, gdy tylko jej potrzebujesz. Nie zwlekaj, poznaj nas bliżej i sprawdź, jak możemy Ci służyć w trudnych chwilach!
Ilość odwiedzin: 341
Ilość kliknięć: 1
Ocena: 5
Komentarzy: 1
Data dodania: 15.04.2024
Ostatnia wizyta: 22.02.2026
Strona www Producent Big Bag Cerplast

Producent Big Bag Cerplast

lokalizacja Robotnicza 50, 39-100 Ropczyce, lokalizacja 17 22 17 090
Strona internetowa www.cerplast.pl to witryna Cerplast, renomowanej firmy, która zdobyła znaczącą pozycję na rynku jako specjalista w produkcji i dystrybucji worków Big-Bag, znanych również jako worki wielkogabarytowe. Te innowacyjne produkty są doskonałym rozwiązaniem dla różnych gałęzi przemysłu, które potrzebują efektywnych i bezpiecznych sposobów transportu oraz przechowywania materiałów sypkich w dużych ilościach. Worki Big-Bag znajdują zastosowanie w wielu dziedzinach, ich wykorzystanie obejmuje transport chemikaliów, materiałów budowlanych, produktów rolnych oraz odpadów przemysłowych. Cerplast wyróżnia się na tle konkurencji swoją wieloletnią obecnością na rynku oraz nieustannym dążeniem do osiągania doskonałości. Produkty oferowane przez firmę są wytwarzane z wysokiej jakości surowców, co gwarantuje ich trwałość i niezawodność. Klienci mają możliwość wyboru spośród różnych rozmiarów i konfiguracji worków, co pozwala na indywidualne dopasowanie produktów do ich specyficznych potrzeb. Cerplast proponuje także różnorodne opcje dodatkowe, takie jak uchwyty, odporność na promieniowanie UV, a także różnego rodzaju akcesoria, takie jak zawory i wewnętrzne powłoki. Witryna internetowa www.cerplast.pl jest intuicyjnie zaprojektowana, co umożliwia łatwe i szybkie przeszukiwanie informacji o dostępnych produktach oraz ich specyfikacjach. Użytkownicy znajdą tam szczegółowe instrukcje dotyczące prawidłowego użytkowania, a także zasady bezpieczeństwa, które są kluczowe, aby zapewnić odpowiednie funkcjonowanie i długowieczność worków. Odwiedzając stronę, klienci mogą zapoznać się z bogatą galerią zdjęć produktów oraz skontaktować się z ekspertami Cerplast, co znacznie ułatwia dokonanie właściwego wyboru. Dodatkowo, firma zapewnia fachowe doradztwo techniczne oraz wsparcie posprzedażowe, co doskonale odzwierciedla jej zaangażowanie w spełnianie oczekiwań klientów i zapewnienie im pełnej satysfakcji. Decydując się na odwiedzenie www.cerplast.pl, użytkownicy uzyskują dostęp do szerokiego asortymentu wyspecjalizowanych rozwiązań w zakresie worków Big-Bag, a także mają pewność współpracy z firmą uznaną za swoją rzetelność, innowacyjność oraz wysoki standard obsługi klienta. Cerplast to perfekcyjny wybór dla tych, którzy poszukują skutecznych i niezawodnych metod transportu oraz przechowywania materiałów sypkich. Zachęcamy do odwiedzenia naszej strony i odkrycia pełnej oferty, która może spełnić wszystkie Wasze potrzeby!
Ilość odwiedzin: 725
Ilość kliknięć: 0
Ocena: 4
Komentarzy: 1
Data dodania: 15.04.2024
Ostatnia wizyta: 22.02.2026